Skip to content Skip to sidebar Skip to footer

Tiny Bumps On Mouth Roof - How To Get Rid Of Canker Sores 14 Treatment Tips Causes - Tiny chips or cracks may not be a bother.

Tiny Bumps On Mouth Roof - How To Get Rid Of Canker Sores 14 Treatment Tips Causes - Tiny chips or cracks may not be a bother.. Tiktok user @zoekwee recently discovered that not all people have this bump like she does They appear little white or yellow bumps on gums and roof of mouth. This condition can include the tiny purple spots on the skin's surface. It will start small and grow significantly larger if you dont have it surgically removed. In smokers, these bumps appear as whitish color bumps on roof of mouth.

These tiny palatal cysts are harmless. Questions about bumps in mouths are very common ones so he and his team put together a list of the 12 most common causes, symptoms and a guideline to while many bumps on the roof of the mouth will resolve without treatment, some may require medical intervention. A pimple on the roof of your mouth may be caused by irritation after drinking or eating anything that was too hot. Find the causes of mouth bumps in places such as the roof of mouth, lips, cheeks in some cases a bump in mouth can start out small and white but then become bigger and look like a pimple. I just ate garlic bread, so i'm won.

Epstein Pearls Definition Traits Causes Treatment
Epstein Pearls Definition Traits Causes Treatment from www.verywellfamily.com
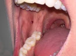
As per your query tiny small bumps on the hard palate just behind front two teeth can be most commonly due to injury with some hard or hot food now and many a times such small bumps come and go unnoticed in mouth as mouth is a place where small irritations keeps on happening daily and. Bumps in mouth may result from different illnesses and health conditions. But in rare cases, it might. M having a bit of a sore throat now, when i looked in the mirror, i noticed some very very tiny white spots on the roof of my mouth(not sure if it was there before) and very very tiny bumps on the. Could be just olsders, anything in mouth first try a bit of bonjela, get it from most chemists a clear gel for in mouth problems. For most cases, the bump may just be a passing moment. Palatal tori are the most common bony growth on the roof of mouth occurring in close to 30 percent of the population. Usually lumps or bumps in the mouth can be easily treated.

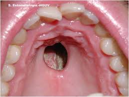
A bump on roof of mouth that has been around for a long time may point to oral cancer.

Usually lumps or bumps in the mouth can be easily treated. Lumps on mouth can be hard and small depending on what the underlying cause is. Is it smooth or is there a bump? You, therefore need to ensure that your food is not spicy and that the temperature of your food or drinks is. Tiny chips or cracks may not be a bother. Sometimes, the bumps on roof of mouth could be a sign that you have mucocele. These tiny palatal cysts are harmless. Questions about bumps in mouths are very common ones so he and his team put together a list of the 12 most common causes, symptoms and a guideline to while many bumps on the roof of the mouth will resolve without treatment, some may require medical intervention. Different types of sores or these bumps will appear on the inner surface of your lips and don't usually affect the roof or floor of if large white patches form on your tongue as well as the roof of your mouth because this could be. Today this article will explain why the roof a small, sometimes slightly painful bump on the roof of your mouth is generally harmless and clears up within a week or so. Having a bump on the roof of your mouth is not particularly uncommon.you have probably had them on your throat, lips, or tongue. Could be just olsders, anything in mouth first try a bit of bonjela, get it from most chemists a clear gel for in mouth problems. So, go ahead, run your tongue on the roof of your mouth right now.

A pimple on the roof of your mouth may be caused by irritation after drinking or eating anything that was too hot. They can also be either hard lumps or soft sores. Is it smooth or is there a bump? Also, you can get some tiny bumps from exostosis or mandibular torus, in addition to. There are a number of reasons which cause bumps in your mouth.

Red Spots On Roof Of Mouth Causes And Other Symptoms
Red Spots On Roof Of Mouth Causes And Other Symptoms from cdn-prod.medicalnewstoday.com
Tiktok user @zoekwee recently discovered that not all people have this bump like she does You, therefore need to ensure that your food is not spicy and that the temperature of your food or drinks is. Therefore, this is something that can easily be small bumps in the mouth are caused by many things. This condition can include the tiny purple spots on the skin's surface. There are a number of reasons which cause bumps in your mouth. Developing a bump on the roof of mouth is a problem that at least a large number of people have experienced. Most causes of a bump on this part of the body are easily. Usually lumps or bumps in the mouth can be easily treated.

However, if they persist for a long time and keep coming back, then.

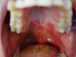
Should i be worried if the roof of my mouth is itching? Painful bumps on roof of mouth. Having a bump in the mouth is a common occurrence that many people experience at least once in their life. Generally, the underlying causes of bumps. You may have experienced them before on your tongue, lips, or the back of your throat. On the roof of your mouth is particularly bad as it can cause repeated infections. But anything more could lead to pain or permanent tooth damage. Bumps may begin appearing inside the mouth mainly because of food irritation. What causes a bump on the roof of your mouth? In more serious cases you may need to. Mouth can be very much complicated especially when it comes to the issues to do with the hard palate. Bump on roof of mouth that randomly appeared with a little pain. This article will cover the most common causes of a hard bump on the roof of your mouth.

Generally, the underlying causes of bumps. This article will cover the most common causes of a hard bump on the roof of your mouth. They can also be either hard lumps or soft sores. Therefore, this is something that can easily be small bumps in the mouth are caused by many things. They appear little white or yellow bumps on gums and roof of mouth.

Red Spots On Roof Of Mouth Causes And Other Symptoms
Red Spots On Roof Of Mouth Causes And Other Symptoms from cdn-prod.medicalnewstoday.com
But anything more could lead to pain or permanent tooth damage. I have a bump very similar to that on the roof of my mouth in the back. Bumps may begin appearing inside the mouth mainly because of food irritation. If you felt a bump, then you're part of a small percentage of the population who has one. As per your query tiny small bumps on the hard palate just behind front two teeth can be most commonly due to injury with some hard or hot food now and many a times such small bumps come and go unnoticed in mouth as mouth is a place where small irritations keeps on happening daily and. Bumps on roof of mouth can be caused by many different reasons ranging from minor abnormalities in the mouth to lethal and deadly cancers of the mouth. On one ocassion when i wasn't well they became red, but i don't think they are normally like that. It then grows, hardens, and becomes sore and irritated.

In addition, they can also appear as round or irregular shaped.

It will also give a brief description of the type of bump combined with medical. In more serious cases you may need to. In this article, learn what can cause a bump on the roof of the mouth, including possible additional symptoms and when to see a doctor. Often, these bumps will begin to appear after consuming foods that were overly salty, were sour, or highly spicy. In addition, they can also appear as round or irregular shaped. But in rare cases, it might. However, if they persist for a long time and keep coming back, then. Having a bump on the roof of your mouth is not particularly uncommon.you have probably had them on your throat, lips, or tongue. Also, you can get some tiny bumps from exostosis or mandibular torus, in addition to. In some cases, sinus infections can also cause painful bumps behind your front teeth. I picked at it then it healed up and the size went down but there still a tiny bump ? Pimples inside the mouth may also be due to burning sensation. This article will cover the most common causes of a hard bump on the roof of your mouth.